龙华针灸

标题: 神经影像CT读片 [打印本页]

作者: 笑湖    时间: 2014-7-18 15:12
标题: 神经影像CT读片
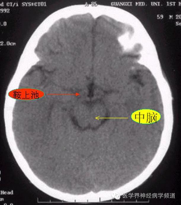
神经影像CT读片step by step





























欢迎光临 龙华针灸 (http://www.shlhzj.com/) Powered by Discuz! X3.2